强制性作为一种风湿骨科类疾病,一旦患上将会十分痛苦,如果不及时治疗,或者不配合治疗将会造成会严重的后果。这并不是危言耸听,现在就让我们来了解了解强直性脊柱炎治疗不及时会有怎样的后果。请贵阳强直性脊柱炎医院的专家来为大家介绍吧:

在强直性脊柱炎患者的饿病情发展过程中,倘若治疗不及时,有一部分患者就容易有虹膜炎的眼部病变出现,这是该疾病的一常见并发症,同时患者还有单侧、急性、自限性、非肉芽肿性、多次复发性等特点,严重时还会影响到患者的正常视力。
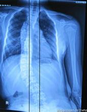
在强直性脊柱炎患者当中,还有部分患者倘若治疗不及时,病情就会容易并发肺部疾病,这一后果主要出现在晚期,累及肋骨的情况已经相当严重,肺部功能已经受到了严重的影响,导致患者有咳嗽、咳痰、呼吸困难等症状。检查时会发现患者的双侧肺不张,肺功能表现为下降。>>>强直性脊柱炎会导致瘫痪吗?点击免费咨询专家
同时还要强调一点,倘若患者对强直性脊柱炎没有及时的财务措施进行治疗,那么疾病还会导致有些患者有肾脏和心脏方面的问题。相关推荐: 强直性脊柱炎是怎么引发骨头坏死的
这就是强直性脊柱炎治疗不及时的后果,希望广大患者看到这些后果能够引以为戒,在患病时及时的积极配合治疗,早日康复。如果您还有想要了解的问题,可以咨询我院的在线专家,专家会耐心的为您解答的,后祝您生活愉快!
文章部分文字、图片、数据、视频等内容信息来源于互联网,版权归原作者所有,如有侵权请立即联系删除。




