强直父子深受病痛折磨 多年问诊终康复
来源:贵阳强直医院
| 早期强直难确诊,详细诊断终康复 | 尽早发现提前预防 谨慎选择治疗方法 | 先进疗法临床康复遗传性脊柱炎 |
| 强直父子深受病痛折磨 多年问诊终康 | 科学治疗方案拯救花季少女 | 七年强直折磨在校大学生 贵阳强直医 |
| 强直让她暂离舞蹈生涯 | 少时贪凉过度 无奈人到中年还受强直 | 临床康复多年强直,回归讲台 |
该患者朋友相关情况,由崔丽主任的助理跟踪记录,内容属实
任何同行与机构未经本人同意,不得转载
=====================================================================================
【基本信息】
患者姓名:赵先生
年龄:47岁
病史:20年
所患疾病:强直性脊柱炎
主治医生:崔丽主任
【案例详情】
二十年前,赵先生因长期伏案工作出现后腰背关节出现疼痛感,活动后有所改善。此后,赵先生感觉疼痛感有所加剧,起身特别困难,肩膀部位僵硬,睡觉时也是特别难受,枕头无论怎么调整睡着都不舒服。经检查,被确诊为强直性脊柱炎。经过多次治疗后,病情反反复复,无法康复。两年前,赵先生的儿子小赵也被检查出遗传性强直性脊柱炎。经介绍父子二人来到我院风湿专病科室就诊。
【检查治疗】
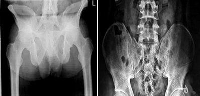
崔丽主任通过与赵先生父子的沟通以及深入检查,检查结果显示:赵先生的强直性脊柱炎已经到了晚期,而小赵的病情较轻,尚属强直早期。

(图:父子两人的CT照对比)
针对父子俩的相关情况,崔丽主任为他们治疗制定了详细的治疗方案。小赵的病情较轻,经过两个疗程的治疗以后,他全身各项功能检查时已显示正常。
而赵先生由于患病时间较长,在经过三个疗程的治疗以后,又接受了一个疗程的巩固治疗,现也已达到了临床康复的标准。
文章部分文字、图片、数据、视频等内容信息来源于互联网,版权归原作者所有,如有侵权请立即联系删除。

