隔代遗传 让他患上强直性脊柱炎
来源:贵阳强直医院
| 早期强直难确诊,详细诊断终康复 | 尽早发现提前预防 谨慎选择治疗方法 | 先进疗法临床康复遗传性脊柱炎 |
| 强直父子深受病痛折磨 多年问诊终康 | 科学治疗方案拯救花季少女 | 七年强直折磨在校大学生 贵阳强直医 |
| 强直让她暂离舞蹈生涯 | 少时贪凉过度 无奈人到中年还受强直 | 临床康复多年强直,回归讲台 |
该患者朋友相关情况,由崔丽主任的助理跟踪记录,内容属实
任何同行与机构未经本人同意,不得转载
=====================================================================================
【基本信息】
患者姓名:刘先生
年龄:28岁
病史:2年
所患疾病:强直性脊柱炎
主治医生:崔丽主任
【患者经历】
刘先生经常感觉脖子痛、大腿内侧开始出现红肿现象,后来疼痛红肿症状加重。经附近医院检查,确诊为强直性脊柱炎,经过药物治疗无效后病情加重:脖子有时僵硬的都不能左右转动;大腿内侧的红肿也越来越严重,走路一歪一歪的,十分痛苦。为了能治好强直性脊柱炎,刘先生的家陪同他来到我院风湿专病科室找到崔丽主任。
【检查情况】
崔丽主任详细询问其病情之后,就安排其做了详细的检查。

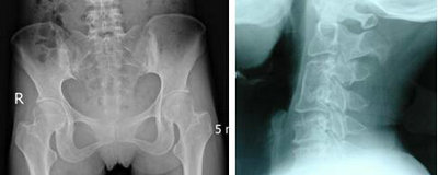
(图:X线片显示其脊椎、髂骨关节遭到破坏)
检查结果:红细胞沉降率增快,达30mm/h,C反应蛋白(CRP)为15.2mg/l;脊椎X线显示其骨质疏松,髂骨关节X线片显示其关节面模糊、局灶性骨质疏松但关节间隙韧带正常。
根据刘先生的检查结果显示,崔丽主任确定其患有早期强直性脊柱炎。为了能及时治疗刘先生的强直,不让病情恶化发展至中晚期,崔丽主任采取根据他的病情制定了详细的诊疗方案。
【治疗情况】
一个疗程结束后,刘先生表示疗效很明显,其脖子部位的疼痛感减轻,腿部的红肿现象也好转不少;
两个疗程结束后,其身上的疼痛、红肿症状基本消失,走路姿势也渐渐正常;
三个疗程结束后,刘先生来院复查,经检查,其已达到临床康复标准。
文章部分文字、图片、数据、视频等内容信息来源于互联网,版权归原作者所有,如有侵权请立即联系删除。

