25岁小伙差点失明 只因强直性脊柱炎
来源:贵阳强直医院
| 早期强直难确诊,详细诊断终康复 | 尽早发现提前预防 谨慎选择治疗方法 | 先进疗法临床康复遗传性脊柱炎 |
| 强直父子深受病痛折磨 多年问诊终康 | 科学治疗方案拯救花季少女 | 七年强直折磨在校大学生 贵阳强直医 |
| 强直让她暂离舞蹈生涯 | 少时贪凉过度 无奈人到中年还受强直 | 临床康复多年强直,回归讲台 |
该患者朋友相关情况,由崔丽主任的助理跟踪记录,内容属实
任何同行与机构未经本人同意,不得转载
=====================================================================================
【基本信息】
患者姓名:张先生
年龄:25岁
病史:10年
所患疾病:强直性脊柱炎
主治医生:崔丽主任
【患者经历】
张先生中学时期发现自己有点驼背,还经常腰酸背痛。第二年,张先生的不适感越来越严重:腰背部的酸痛感日益加重,臀髋部也时不时出现疼痛感,有时还伴有严重的晨僵出现。经检查,张先生被确诊为强直性脊柱炎,经治疗后疗效不佳,治疗期间,张先生的强直反复复发,病情也更加严重起来:臀髋部和腰背部的疼痛让其不能久坐,甚者久卧,夜里翻身困难。直到到10年后,张先生的背部严重弯曲,其左眼视力开始变差,视物不清、畏光、流泪、伴有疼痛,张先生才在家人的陪伴下来到我院接受治疗。

(图:张先生来院时背部畸形严重)
【检查情况】
我院强直医生崔丽主任接待了张先生及其父母,看到张先生的症状,崔丽主任立即为他进行详细检查。
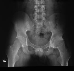
临床检查:背部弯曲严重,左眼视力4.0、患有虹膜炎;X片检查显示骶髋关节和脊柱融合,关节遭到严重破坏、增生硬化、骨质明显疏松、关节完全强直;实验室检查:红细胞沉降率达50mm/h, C反应蛋白(CRP) 高达50mg/l。

(图:X线片显示骶髋关节融合,完全强直)
【治疗情况】
崔丽主任根据张先生的临床症状和入院检查结果,确诊其患有晚期强直性脊柱炎。由于张先生的病情比较严重,崔丽主任召开了临时会议为他制定了合适的治疗方案。
第1个疗程结束后,张先生表示身体关节的疼痛明显减轻,晨僵现象消失;
第2个疗程结束后,睡眠质量提高,关节疼痛次数减少,疼痛感也不明显;
第3个疗程结束后,身上关节疼痛消失,左眼视力也正慢慢恢复;
第4个疗程结束后,张先生来院复查,各项检查结果都显示其强直性脊柱炎已达到临床康复标准。
文章部分文字、图片、数据、视频等内容信息来源于互联网,版权归原作者所有,如有侵权请立即联系删除。

